หลักสูตร
แยกตามคณะ
ค้นหาหลักสูตร
ปริญญาตรี
ปริญญาโท
ปริญญาเอก
หลักสูตรอื่นๆ
การศึกษา
การรับสมัครระดับปริญญาตรี
การรับสมัครระดับบัณฑิตศึกษา
การรับสมัครหลักสูตรนานาชาติ
ทุนอธิการบดีมหาวิทยาลัยเชียงใหม่
คณะและหน่วยงาน
คณะ
หน่วยงาน
ส่วนงานอื่นๆ
ข่าวสาร
ข่าวงานวิจัยและนวัตกรรม
ข่าวเด่น
ข่าวบุคคลเด่น
รางวัลและความภาคภูมิใจ
ประชุมสัมมนา/กิจกรรมของมหาวิทยาลัย
ภาพข่าวผู้บริหาร
ข่าวรับสมัครงาน
ข่าวจัดซื้อจัดจ้าง
ปฏิทินกิจกรรม
COVID-19 และ PM2.5
กีฬา
Featured
สุขภาพ
กฎหมายกฎระเบียบ
การบริจาค
เทคโนโลยี
ศาสนา
วารสาร
บทความเกี่ยวกับ 60 ปี มช.
เกี่ยวกับ มช.
ประวัติความเป็นมา
ปณิธาน/วิสัยทัศน์/พันธกิจ/ค่านิยมและวัฒนธรรมองค์กร
อำนาจหน้าที่
เอกลักษณ์องค์กร (CI)
โครงสร้างองค์กรและการบริหารมหาวิทยาลัยเชียงใหม่
แผนพัฒนาการศึกษามช. ระยะ 5 ปี
คณะกรรมการสภามหาวิทยาลัย
คณะผู้บริหารมหาวิทยาลัย
ผู้บริหารส่วนงาน
ผู้บริหารหน่วยงาน
สภาพนักงาน
ลิงค์อื่น ๆ ที่เกี่ยวข้อง
CMU First Year
CMU IT Life
โครงการแลกเปลี่ยน
ทุนการศึกษา
คลังภาพคลังข่าว
ข้อมูลสาธารณะ
นโยบายคุ้มครองข้อมูลส่วนบุคคล
ติดต่อเรา
ภาษา
ภาษาไทย
อังกฤษ
จีน
TH
|
EN
|
CN
หน้าแรก
ข่าว
ข่าว
คณะแพทยศาสตร์ มหาวิทยาลัยเชียงใหม่ ประสบความสำเร็จในการรักษาผู้ป่วยโรคลิ้นหัวใจพัลโมนิกรั่วผ่านทางสายสวนหัวใจโดยไม่ต้องผ่าตัด เป็นรายแรกของภาคเหนือ
10 ตุลาคม 2568
คณะแพทยศาสตร์
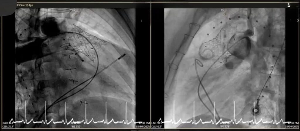
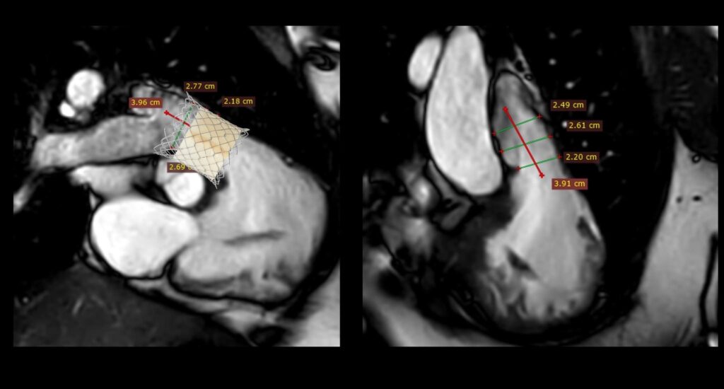
คณะแพทยศาสตร์ มช. สร้างความสำเร็จทางการแพทย์ ด้วยการรักษาโรคลิ้นหัวใจพัลโมนิกรั่ว (Pulmonary valve regurgitation) ผ่านสายสวน ในผู้ป่วยหญิงไทย อายุ 22 ปี ที่มีประวัติผ่าตัดรักษาภาวะ Tetralogy of Fallot มาก่อน และมีอาการของลิ้นพัลโมนิกรั่วรุนแรง
การใส่ลิ้นหัวใจพัลโมนิกเทียมผ่านสายสวนหัวใจ (Transcatheter pulmonary valve implantation; TPRI ) ในครั้งนี้ ทำผ่านทางหลอดเลือดดำใหญ่ บริเวณขาหนีบ จึงไม่ต้องผ่าตัดเปิดทรวงอก โดยกระบวนการรักษาและพักฟื้นผ่านไปได้ด้วยดี ไม่พบภาวะแทรกซ้อน ผู้ป่วยสามารถออกจากโรงพยาบาล 2 วันภายหลังการรักษา นับเป็นหนึ่งในความก้าวหน้าของนวัตกรรมการแพทย์เพื่อใช้รักษา ลดความเสี่ยงของภาวะแทรกซ้อนต่างๆ รวมถึงยกระดับคุณภาพชีวิตของผู้ป่วยได้
ผศ.นพ.กฤช มกรแก้วเกยูร อาจารย์ประจำแผนกโรคหัวใจ ภาควิชากุมารเวชศาสตร์ คณะแพทยศาสตร์ มหาวิทยาลัยเชียงใหม่ เปิดเผยว่า โรคหัวใจพิการแต่กำเนิดชนิด Tetralogy of Fallot มีความผิดปกติคือผนังหัวใจห้องล่างรั่วและหลอดเลือดในปอดตีบ ในประเทศไทยพบผู้ป่วยใหม่ประมาณ 300-500 รายต่อปี การรักษาผู้ป่วยในกลุ่มนี้คือ การผ่าตัดปิดรูรั่วผนังหัวใจห้องล่างและแก้ไขหลอดเลือดไปปอดให้หายตีบในช่วงอายุ 2 ปี
อย่างไรก็ตาม แม้ว่าจะทำการผ่าตัดไปแล้วในช่วงต้นของชีวิต แต่ผู้ป่วยจะยังคงมีภาวะลิ้นหัวใจพัลโมนิกรั่วตามมาได้อีกถึงประมาณร้อยละ 90 ส่งผลให้หัวใจห้องขวาต้องรับภาระหนักขึ้นและมีขนาดโตขึ้น จึงจำเป็นต้องรับการผ่าตัดอีกครั้งเพื่อแก้ไขลิ้นหัวใจพัลโมนิกรั่ว
การแก้ไขลิ้นหัวใจพัลโมนิกรั่วมี 2 วิธี คือ การผ่าตัดเปิดทรวงอกเพื่อใส่ลิ้นหัวใจพัลโมนิกเทียม และ การใส่ลิ้นพัลโมนิกผ่านทางสายสวนหัวใจ การเปลี่ยนลิ้นทั้งสองวิธีนี้เมื่อเวลาผ่านไป 10-20 ปี ลิ้นพัลโมนิกเทียมจะมีโอกาสเสื่อมอีก ทำให้ผู้ป่วยประมาณ 1 ใน 3 จำเป็นต้องเปลี่ยนลิ้นหัวใจซ้ำอีกครั้ง ซึ่งในผู้ป่วยบางรายอาจจะต้องการการใส่ลิ้นพัลโมนิกเทียมไม่ว่าจะโดยการผ่าตัดหรือผ่านทางสายสวน 2-3 ครั้งในช่วงชีวิตหนึ่ง
การผ่าตัดเปิดทรวงอกในแต่ละครั้ง จะก่อให้เกิดพังผืด (fibrous adhesion) เพิ่มความยากลำบาก และความเสี่ยงในการผ่าตัดมากขึ้น การรักษาผ่านทางสายสวนจึงเป็นทางเลือกที่จะลดความเสี่ยงนี้ลง อีกทั้งยังสามารถใส่ลิ้นพัลโมนิกเทียมชิ้นใหม่ทับแทนชิ้นเก่าได้ (valve in valve procedure)
การรักษาผ่านทางสายสวนครั้งนี้ได้รับความร่วมมือจากสหสาขาวิชาชีพ อาทิเช่น ศัลยแพทย์โรคหัวใจ ทรวงอก และหลอดเลือด กุมารแพทย์โรคหัวใจ อายุรแพทย์โรคหัวใจ วิสัญญีแพทย์ รังสีแพทย์ นักเทคโนโลยีหัวใจและทรวงอก รังสีแพทย์และนักรังสีการแพทย์ เจ้าหน้าที่และพยาบาลห้องสวนหัวใจ ห้องผ่าตัดศัลยกรรมทรวงอก หอผู้ป่วยวิกฤตศัลยกรรมหัวใจหลอดเลือด หอผู้ป่วยพิเศษ 5 พยาบาลหน่วยโรคหัวใจเด็กและผู้ใหญ่
การประสบความสำเร็จในการใส่ลิ้นหัวใจพัลโมนิกผ่านทางสายสวนหัวใจของคณะแพทยศาสตร์ มช. ในครั้งนี้ จึงนับเป็นความก้าวหน้าที่สำคัญในการนำเทคโนโลยีนวัตกรรมมาใช้ เพื่อยกระดับการดูแลรักษาผู้ป่วยให้มีคุณภาพสูงสุด มีความปลอดภัยมากขึ้น ลดความเจ็บปวดและระยะเวลาการพักฟื้น สามารถกลับคืนสู่ชีวิตปกติได้เร็ว เสริมสร้างคุณภาพชีวิตที่ดีในระยะยาว ซึ่งนับเป็นพันธกิจของคณะแพทยศาสตร์ มหาวิทยาลัยเชียงใหม่ ในการเป็นโรงเรียนแพทย์ในดวงใจ เพื่อความยั่งยืนด้านสุขภาวะ ด้วยนวัตกรรม
เรียบเรียง:
นางสาวนันทพร ระบิน
ภาพ / ข่าว :
กลุ่มงานสื่อสารองค์กร คณะแพทยศาสตร์ มหาวิทยาลัยเชียงใหม่
#MedCMU #คณะแพทยศาสตร์มหาวิทยาลัยเชียงใหม่ #แพทย์เชียงใหม่ #แพทย์มช. #หมอสวนดอก #โรงพยาบาลสวนดอก #Medcmuในมือคุณ #สื่อสารองค์กรMedcmu #โรคลิ้นหัวใจพัลโมนิกรั่ว
สุขภาพ
บทความ
ข่าวเด่น
แกลลอรี่
×
RoomID:
Room Name:
Description: